L’apnée - enfant
Contrairement au ronflement qui ne présente pas de risque pour la santé, l’apnée du sommeil est caractérisée par une diminution de l’oxygène dans le sang durant le sommeil. Plus l’oxygène est bas et plus la durée de la baisse est longue, plus l’apnée est sévère. C’est pourquoi l’apnée du sommeil présente un danger important pour la santé. Chez l’enfant, ’apnée du sommeil est liée à l’hyperactivité, aux troubles de concentration, à l’irritabilité et peut même contribuer à des troubles de développement.
Les signes plus communs qui laissent suspecter la présence d’apnée chez l’enfant sont : arrêts respiratoires durant la nuit, réveils fréquents, réveils avec étouffement, hyperactivité, difficulté de concentration, irritabilité et troubles d’humeur.
La plupart des enfants atteints d’apnée du sommeil souffrent d’apnée dite obstructive : c’est-à-dire qu’elle est causée par une obstruction mécanique des voies respiratoires. Les sites les plus fréquents de cette obstruction sont le nez et la gorge, plus précisément au niveau des adénoïdes (végétations) et des amygdales.
-
Le ronflement est la production de bruit sans diminution d’oxygène dans le sang. Bien qu’il puisse causer des embarras interpersonnels importants, le ronflement ne présente pas un danger à la santé.
L’apnée du sommeil implique une diminution de l’oxygène dans le sang durant le sommeil. Ceci cause un stress important qui taxe le corps tout entier et contribue à augmenter les risques de plusieurs maladies.
Le ronflement et l’apnée du sommeil sont tous deux liés à des sites de restriction ou d’obstruction des voies respiratoires - le nez et la gorge - d’où l’importance de consulter en ORL si vous êtes atteints.
-
Les signes que votre enfant pourrait être atteint d’apnée du sommeil - et non pas seulement de ronflement! - sont les suivants : ronflements, arrêts respiratoires, réveils fréquents, étouffements durant la nuit, hyperactivité, trouble de concentration, irritabilité.
Chez l’enfant, il est rare d’observer de la fatigue : on observe plutôt l’hyperactivité!
-
Les adénoïdes sont composées de tissu lymphatique bénin dans la région la plus postérieure du nez nommée le nasopharynx, juste à côté de l’ouverture de la trompe d’eustache (le fameux tube en lien avec les otites!).
Ils sont un peu comme des ganglions à l’intérieur des voies respiratoires et répondent à la présence de virus et de bactéries en augmentant de volume.
Le problème chez l’enfant, c’est que les voies respiratoires sont petites, et qu’il suffit de peu d’inflammation pour les bloquer… et causer des symptômes…
-
Les enfant atteints d’hypertrophie des adénoïdes ont de la difficulté à respirer par le nez.
Ils présentent souvent un nez qui coule de manière chronique, combiné à une respiration buccale presque constante. Ils ont tendance à manger la bouche ouverte parce qu’ils n’arrivent pas à respirer.
Si vous demandez à l’enfant de fermer sa bouche pour respirer par son nez, il n’y arrive que quelques secondes parce qu’il est trop inconfortable.
Ils peuvent présenter des otites séreuses ou des otites aigües à répétition avec un trouble auditif avec ou sans trouble de langage.
Certains enfants développent une toux chronique à cause de l’écoulement nasal postérieur qui irrite la gorge.
Finalement plusieurs d’entre eux ont des ronflements importants et développent de l’apnée du sommeil obstructive.
-
Les enfant atteints d’hypertrophie des amygdales ont presque toujours la bouche ouverte pour respirer.
Ils peuvent présenter des otitesséreuses ou des otites aigües à répétition avec un trouble auditif avec ou sans trouble de langage.
Ils ont tendance à manger la bouche ouverte parce qu’ils n’arrivent pas à respirer. Certains ont de la difficulté à avaler, mangent seulement de petits morceaux et ont tendance à avoir des haut le coeur causés par les amygdales trop grosses.
Certains enfants développent une toux chronique à cause des amygdales qui irritent leur gorge.
Finalement plusieurs d’entre eux ont des ronflements importants et développent de l’apnée du sommeil obstructive.
-
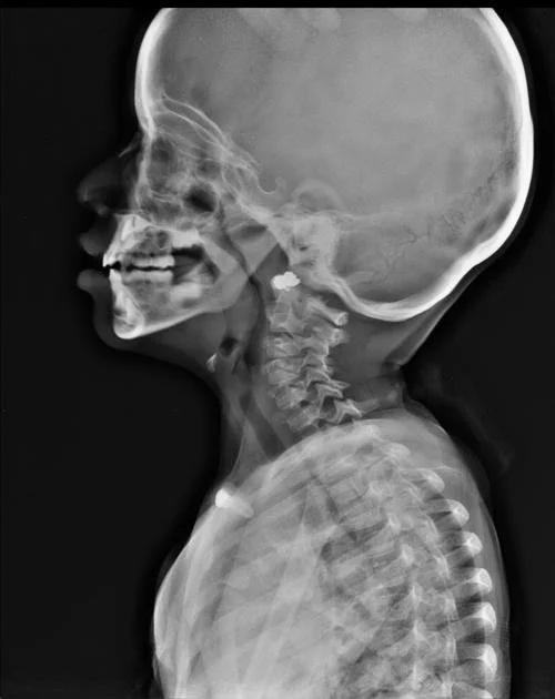
Une consultation en ORL est le meilleur moyen d’évaluer l’hypertrophie des adénoïdes et des amygdales.
L’histoire et l’examen physique sont souvent révélateurs. Les tests supplémentaires peuvent inclure :
un rayon X des voies respiratoires pour mesurer l’impact des adénoïdes
une oxymétrie nocturne pour mesurer l’oxygène dans le sang durant le sommeil
une endoscopie (rare, Dre Brousseau essaie le plus possible d’éviter ce test chez les enfants pour des raisons de confort)
-
Le meilleur moyen de savoir si votre enfant fait de l’apnée du sommeil est de passer un test d’oxymétrie nocturne : ce test permet de mesurer le niveau d’oxygène et le rythme cardiaque durant le sommeil.
Votre enfant n’a qu’à porter une sonde retenue par un auto-collant sur un doigt ou un orteil pendant une nuit. Vous retournez la machine le lendemain pour analyse par un professionnel de la santé.
Si vous voulez faire un premier dépistage à la maison, vous pouvez considérer utiliser votre montre intelligente pour mesurer la saturation d’oxygène durant votre sommeil : normalement le taux de saturation ne devrait pas chuter en bas de 90%. Notez que l’utilisation de ces technologies ne permet pas d’exclure que votre enfant est atteint, mais seulement d’effectuer un premier dépistage : si vous pensez que votre enfant a de l’apnée, mieux vaut consulter!
-
Le traitement de l’hypertrophie des adénoïdes et des amygdales dépend de l’origine, de la sévérité de l’hypertrophie et des autres conditions médicales.
Dans tous les cas il est important de traiter les allergies environnementales si elles sont présentes - elles contribuent à l’inflammation et aux sécrétions chroniques.
Lorsque les symptômes sont mineurs et sans effet sur la santé (pas d’apnée du sommeil), on peut procéder avec une hygiène nasale régulier avec un vaporisateur nasal anti-inflammatoire. Chez certains patients, ce traitement permet d’éviter une chirurgie.
Lorsque les adénoïdes et les amygdales sont trop enflées ou causent de l’apnée du sommeil ou d’autres problèmes de santé (troubles dentaires, de croissance du visage etc), alors une chirurgie pour retirer les adénoïdes et-ou les amygdales peut être recommandée.
-
On utilise une échelle appelée McGill pour déterminer la sévérité de l’apnée du sommeil chez l’enfant.
Grade 1 : pas d’apnée détectée - on recommande alors un traitement médical et suivi médical
Grade 2 : apnée légère - on recommande alors un traitement médical avec médication quotidienne et suivi médical étroit
Grade 3 : apnée modérée - on recommande alors un traitement chirurgical pour dégager les voies respiratoires
Grade 4 : apnée sévère - on recommande alors un traitement chirurgical urgent pour dégager les voies respiratoires
-
Non. Pour des raisons de sécurité, les chirurgies des adénoïdes et des amygdales nécessitent une prise en charge complète des patients dans un hôpital.
Dre Brousseau procède à l’évaluation complète de l’enfant. Selon les résultats, si votre enfant a besoin de traitement médical, votre enfant est pris en charge à la clinique.
Si votre enfant a de l’apnée du sommeil ou a besoin de chirurgie pour les adénoïdes ou les amygdales, il sera référé directement à un hôpital pédiatrique où il sera pris en charge en priorité selon la gravité de l’apnée grâce aux investigations déjà effectuées.
